بررسی باکتری های مسئول پوسیدگی دندان

نوعی باکتری وجود دارد که یکی از مهمترین عوامل اصلی پوسیدگی دندانها به شمار میرود. در این متن، ما با این باکتری عامل پوسیدگی دندان و همچنین روشهای مبارزه با آن به طور دقیقتر آشنا خواهیم شد. این باکتری با تولید اسیدهای مضر و نفوذ در لایههای دندان، موجب تخریب تدریجی و پوسیدگی آنها میگردد. بنابراین، شناخت ویژگیهای این باکتری و اتخاذ تدابیر لازم برای مقابله با آن، نقش بسزایی در حفظ سلامت دندانها و پیشگیری از پوسیدگی خواهد داشت.
باکتری های استرپتوکوکوس موتانس یکی از اصلی ترین عوامل پوسیدگی دندان هستند. برای پیشگیری از انتشار و آسیب رسانی این باکتری ها به دندان، رعایت بهداشت مناسب دهان بهترین راهکار است. این باکتری ها خود را در قالب پلاک دندانی روی دندان قرار می دهند. این پلاک های دندانی به صورت لکه های سفید روی دندان ظاهر می شوند و با افزایش پوسیدگی، به دندان آسیب می رسانند.
چنانچه پیش از این هم در بخش سلامت دهان و دندان نمناک گفتیم این فرایند شامل مراحل مختلفی است که در آن باکتری باعث ایجاد پوسیدگی می شود و در هر مرحله یکی از باکتری ها فعالیت می کند اما عموما باکتری استرپتوکوکوس موتانس در قسمت اولیه این فرآیند حضور دارد. در حالی که باکتری لاکتوباسیلیسوس و بیفیدوباکتریوم در مراحل پیشرفته حضور دارند. اگرچه همه انسان ها در دهان خود دارای میکروارگانیسم ها هستند اما باکتری که باعث ایجاد پوسیدگی می شود، در دهان افراد سالم وجود ندارد.
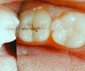
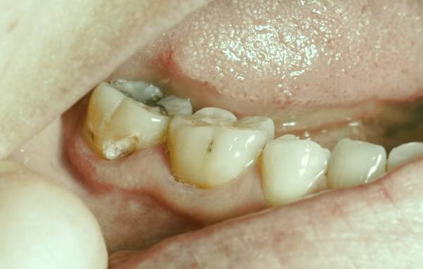
پوسیدگی های دندان
پوسیدگی نتیجه تخریب بافت های دندانی از طریق اسیدهایی است که باکتری ها را به شکل گروهی از پلاک های دندانی ایجاد می کنند. همان طور که پیش تر گفتیم، پلاک هایی روی دندان شکل می گیرد که باعث پوسیدگی آن می شود.
انواع مختلفی از پوسیدگی های دندانی وجود دارد که شامل موارد زیر است:
تاج :
این یکی از رایج ترین انواع پوسیدگی ها بر روی سطوح مسئول جویدن غذا روی دندان است که هم در کودکان و هم در نوجوانان اتفاق می افتد.
داخلی یا مجاورتی :
این پوسیدگی معمولاً در فضاهای بین دندانی اتفاق می افتد که به راحتی قابل تشخیص نیستند.
ریشه ای :
این نوع پوسیدگی معمولاً در بین جوانان و در سنین بالاتر بیشتر اتفاق می افتد که به دلیل انقباض لثه است و ریشه دندان را در معرض خطر قرار می دهد و باعث پوسیدگی آن خواهد شد.
ثانویه یا بازگشتی :
این پوسیدگی ها در کنار قسمت هایی که افراد دندانشان را پر کرده اند، در نزدیکی تاج اتفاق می افتد که قبلا دندانپزشک در آن قسمت درمان مربوط به پوسیدگی را انجام داده است.
باکتری " استرپتوکوکوس موتانس "عامل پوسیدگی
همان طور که گفتیم باکتری استرپتوکوکوس موتانس عامل ایجاد پوسیدگی است که به گروه باکتری لاکتیک اسید مربوط می شود و در محیط هایی با سطح PH پایین رشد می کنند. این باکتری ها از یک شخص به شخص دیگر منتقل می شود و روی دندان و لثه های آن ها می چسبد و پلاک ها را تشکیل می دهد. زمانی که پوسیدگی بسیار عمیق و شدید باشد، ممکن است باکتری های دیگری مثل اس سالیواریوس، اس. پاراسانگوئینیس و اس. کونستلاتوس هم دخیل باشند که فرد می تواند با رعایت اصول بهداشت دهانی از انتشار آن ها پیشگیری کند.
در بعضی از موارد ابتلا به پوسیدگی دندانی، باکتری اس. موتانس اصلاً حضور ندارد اما در این قسمت ها باکتری هایی مثل اس. سوبرینوس، اورالیس و اس. سالیواریوس یافت می شوند. زمانی که پوسیدگی اتفاق بیفتد، حضور چند نوع باکتری لاکتوباسیلیوس رایج است.
سایر باکتری های مرتبط با پوسیدگی دندان
باکتری های دیگری هم عامل ایجاد پوسیدگی هستند مثل استینومیسز ها که مشخصاً در بسیاری از پوسیدگی های ریشه ای حضور دارند. اگرچه نقش آن ها در پیشرفت این وضعیت هنوز مشخص نیست اما همانطور که بخش سلامت نمناک اشاره کرده است این باکتریوم یکی از اولین باکتری های تشکیل شده در دهان کودکان است.
باکتری بیفیدوباکتریوم نیز یک باکتری بی هوازی است که به صورت گروهی در قسمت هایی از روده یافت می شوند. باکتری های پی دنتیکولن، اس. اینوپیناتا و پی. دنتیوم نیز معمولاً بعد از پیشرفته شدن پوسیدگی یافت می شوند.
پرووتلا یکی دیگر از باکتری های بی هوازی و از رایج ترین عوامل پوسیدگی دهانی محسوب می شود و ممکن است به دلیل عفونت های دهان و دندان یا دیگر بیماری های داخل دهان ایجاد شده باشند اما نقش آن ها در پوسیدگی دندان هنوز واضح و مشخص نیست. از طرف دیگر ویلونلا در دهان های سالم به وفور یافت می شود. بهداشت مناسب دندان از همه این مشکلات جلوگیری می کند و همچنین باکتری های پاتوژنیک را از بین می برد.
چگونه با باکتری عامل پوسیدگی دندان مبارزه کنیم؟
عوامل زیادی هستند که رشد باکتری را افزایش می دهند. اولین عامل، مصرف زیاد مواد غذایی حاوی کربوهیدرات، مثل نوشیدنی های شیرین، شیرینی و کلوچه است که هر چقدر بیشتر از این مواد غذایی مصرف کنید، احتمال ابتلا به پوسیدگی دندانی افزایش پیدا می کند.
مواد غذایی دیگر که حاوی نشاسته هستند، مانند سیب زمینی یا نان می توانند خطر ابتلا به پوسیدگی دندان را افزایش دهند.
روش خوردن شما نیز بر روی پوسیدگی دندان اثرگذار است. بهتر است که مواد عذایی ذکر شده را فقط یک بار در روز استفاده کنید و مدام در طول روز از آن ها استفاده نکنید؛ حتی اگر مقدار بسیار کمی باشد.
بهداشت مناسب دهان نیز یک راهکار عملی و موثر است. پیشنهاد می کنیم که یک ساعت بعد از هر وعده غذایی دندان های خود را مسواک بزنید و همچنین از نخ دندان و شوینده حاوی فلوراید استفاده کنید و سالی یکبار به دندانپزشک مراجعه نمایید.