بررسی علل و نشانههای استئوفیت و خار استخوانی + راهکارهای درمانی طبیعی و خانگی

خار استخوان یک نوع استخوان اضافی و غیرطبیعی است که معمولاً در مناطقی چون زانو، پاشنه پا و مچ دست ظاهر میشود. این وضعیت عمدتاً به دلایلی چون چاقی، رژیم نامناسب و مشکلات مادرزادی ایجاد میگردد. خار استخوان به صورت یک توده سخت و برآمده زیر پوست قابل مشاهده است که شکل و ظاهر غیرطبیعی و ناخوشایندی دارد.
علل ، علائم و راههای درمان گیاهی خار استخوانی
خار استخوانی، استخوان اضافی صاف و سختی هستند که در انتهای استخوان شکل می گیرند. آن ها اغلب در مکان هایی که دو استخوان به هم می رسند، مانند مفاصل برجسته ظاهر می شوند. خار استخوانی می تواند در بسیاری از قسمت های بدن شما، از جمله موارد زیر، شکل بگیرد:
- دست ها
- شانه ها
- گردن
- ستون فقرات
- لگن
- زانو
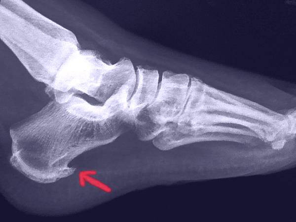
- پا (پاشنه)
اکثرا خار استخوان باعث بروز مشکلات نمی شوند اما اگر آن ها به استخوان های دیگر مالیده شوند و یا بر روی اعصاب فشار بیاورند، ممکن است دردی را تجربه کنید.
چه چیزی باعث خار استخوان می شود؟
اغلب آن ها بعد از آسیب به مفاصل یا تاندون شکل می گیرند؛ وقتی بدن شما فکر می کند که استخوان آسیب دیده است ، سعی می کند با افزودن استخوان ،ناحیه آسیب دیده را تعمیر و ترمیم کند. اینکار باعث ایجاد خار استخوان می شود.
ورم مفاصل اغلب باعث آسیب می شود که یک محرک استخوانی را تولید می کند.
بالشتک بین مفاصل و استخوان های ستون فقرات شما می تواند با سن کم نیز تحت تاثیر قرار گیرند.
آرتروز ، روماتیسم و ورم مفاصل، لوپوس، و نقرس نیز می توانند به مفاصل شما آسیب برسانند.
دیگر علل خار استخوان عبارتند از:
- آسیب:به عنوان مثال اگر بیش از حد برقصید یا بدوید
- ژن ها
- رژیم
- چاقی
- مشکلات مادرزادی
- مشکلات ستون فقرات ستون (نخاع)
علائمخار استخوان چیست؟
چنانچه در ادامه این بخش از سلامت نمناک خواهیم گفت ممکن است متوجه نشوید که خار استخوانی دارید تا زمانی که اشعه ایکس پیدایش کند اما زمانی که بر روی اعصاب، تاندون ها و یا دیگر ساختارها در بدن خود فشار وارد کنند، مشکلاتی را ایجاد می کنند؛ سپس، ممکن است این احساس را پیدا کنید:
- درد در مفصل آسیب دیده:درد و یا سفتی وقتی تلاش می کنید مفصل آسیب دیده را خم کنید یا جابجا کنید
- ضعف، بی حسی و یا خارش در بازوها و یا پاها در زمان فشار
- اسپاسم عضلانی ، گرفتگی عضلات و یا ضعف
- وجود توده زیر پوست
اگر فشار استخوان بر اعصاب ویژه ای در ستون فقرات شما فشار آورند، مشکل کنترل مثانه و یا امعا و احشا شما را کنترل می کند ؛ ممکن است زمانی که ورزش می کنید و یا سعی کنید مفصل آسیب دیده را جابجا کنید، علائم شما بدتر شوند.
خار استخوان می تواند بشکند و در آستر مفصل گیر کند و می تواند مفصل را قفل کند و حرکت را به سختی انجام دهد.
خار استخوان چگونه تشخیص داده می شود؟
احتمالا ً باید به پزشک روماتولوژی یا ارتوپدی مراجعه کنید، روماتولوژیست متخصص مشکلات مفاصل هستند. پزشکان ارتوپد بر سیستم عضلانی اسکلتی تمرکز دارند می توانند توده خار استخوان را با لمس یا اشعه ایکس تشخیص دهند.
سایر تست هایی که پزشک شما می تواند برای تشخیص خار استخوان کمک کند، عبارتند از:
سی تی اسکن:
یک اشعه ایکس قوی که عکس های دقیقی از درون بدن شما می گیرد.
ام آر آی:
این از آهن رباهای قوی و امواج رادیویی برای ایجاد تصاویر از اندام ها و ساختار درون بدن شما استفاده می کند.
تست های الکتروکانداکتیو:
این تست ها نشان می دهند که اعصاب شما چقدر سریع سیگنال های الکتریکی را ارسال می کنند. آن ها می توانند آسیب های استخوان آسیب دیده را نشان دهند که باعث تحریک اعصاب در نخاع شما شده اند.
خار استخوان چطور درمان می شوند؟
برای تسکین درد و کاهش تورم، می توانید یکی از این مسکن های زیر را امتحان کنید:
- استامینوفن ( تیلنول )
- ایبوپروفن ( ادویل ، موترین )
- ناپروکسن سدیم ( الیو )
این موارد حاوی عوارض جانبی هستند، به خصوص اگر آن ها را در مقدار زیادی یا برای مدت زمان بخورید.
درمان های دیگر برای خار استخوان بدون دارو عبارتند از:
- استراحت
- تزریق استروئید برای پایین آوردن تورم و کاهش درد در مفاصل
- درمان فیزیکی برای بهبود قدرت مفاصل و افزایش حرکت
اگر این درمان ها کارساز باشد و یا تحریک استخوان بر حرکت شما تاثیر بگذارد، ممکن است برای برداشتن استخوان اضافی به جراحی نیاز داشته باشید.
آیا می توانم از خار استخوان جلوگیری کنم؟
شاید نه -- اگر آن ها نتیجه فرسایش طبیعی و پارگی مفاصل هستند اما می توانید این گام ها را بردارید تا از خار استخوان جلوگیری کنید:
- ته کفش خود را با کفی نرم و پهن و قوس دار بگذارید.
- کفش های خود را مناسب پا و اندازه پایتان انتخاب کنید .
- جوراب های کلفت بپوشید تا از ساییدگی کفش و پایتان جلوگیری کنید.
- یک رژیم غذایی خوب با مقدار زیادی کلسیم و ویتامین D بخورید تا از استخوان شما محافظت شود.
- حرکات کششی مرتب مانند پیاده روی برای حفظ سلامت استخوان هایتان مفید است.
- سعی کنید اگر اضافه وزن دارید، وزنتان را کم کنید.
اگر نشانه ای از دردسر مفاصل، مانند درد، تورم و یا سفتی داشته باشید به پزشک خود مراجعه کنید.
در این بخش از سلامت نمناک 8 درمان خانگی برای خار استخوان وجود دارد:
1. کمپرس سرد خار استخوان:
استفاده منظم از کمپرس سرد به کاهش علائمی نظیر درد، تورم و التهاب ناشی از فشار استخوان کمک خواهد کرد. هم چنین به آرام سازی اعصاب در ناحیه آسیب دیده کمک می کند. تکه های یخ را در یک حوله نازک بگذارید و آن را محکم ببندید و بر روی منطقه متاثر بمالید و به آرامی فشار دهید. این کار را برای 5 تا 10 دقیقه انجام دهید.این درمان را در صورت نیاز تکرار کنید.
توجه:به طور مستقیم یخ را روی پوست نگذارید چون ممکن است باعث سرمازدگی اندام ها شود.
2. رفع خار استخوان با زنجبیل:
زنجبیل هم یک درمان خانگی عالی برای خار استخوان است.یک ضد التهاب طبیعی است و می تواند به کاهش درد، تورم و التهاب کمک کند. علاوه بر این به بهبود گردش خون کمک کند.چای زنجبیل را 3 بار در روز بنوشید.
برای تهیه این چای، یک قاشق سوپ خوری زنجبیل خرد شده را در 2 فنجان آب به مدت 10 دقیقه بجوشانید. می توانید عسل هم اضافه کنید و بنوشید. هم چنین هر روز ناحیه آسیب دیده را با روغن زنجبیل ماساژ دهید.
روشی دیگر اینکه شما می توانید 3 بار در روز 2 عدد قرص های زنجبیل 500 میلی گرم را مصرف کنید اما ابتدا با پزشک خود مشورت کنید.
3. سرکه سیب برای خار استخوان:
سرکه سیب همچنین یک درمان خانگی خوب برای خار استخوانی است. خواص ضد التهابی آن به کاهش درد و التهاب کمک می کند.هم چنین به کاهش سطح PH و جلوگیری از خار استخوان نیز کمک می کند.
- 1 تا 2 قاشق چای خوری سرکه سیب را به یک لیوان آب اضافه کنید.
- برای دریافت بهترین نتیجه دو باردر روز بنوشید.
همچنین می توانید یک دستمال کاغذی حاوی سرکه سیب را در ناحیه آسیب دیده قرار دهید. بگذارید چند ساعتی بماند. هر روز این کار را انجام دهید.این درمان را دنبال کنید تا درد و التهاب از بین برود.
4. درمان خار استخوان با زردچوبه :
زردچوبه نیز برای تسکین علایم مرتبط با خار استخوانی مفید است. کورکومین یا رنگ زرد چوبه دارای خواص ضد التهاب و آنتی اکسیدانی هستند که به کاهش التهاب و درد کمک می کنند.
- یک قاشق چای خوری زرد چوبه را به یک فنجان شیر اضافه کنید و آن را روی شعله کم حرارت قرار دهید.
- این نوشیدنی را دو بار در روز برای بهبودی سریع بنوشید.
همچنین می توانید حدود 400 تا 600 میلی گرم زردچوبه را 3 بار در روز استفاده کنید، اما بعد از مشورت با پزشک.
5. تخم کتان مناسب برای خار استخوان:
تخم کتان حاوی اسید آلفا - لونولین است که یک شکل اسید چرب امگا 3 است که می تواند به کاهش درد و التهاب کمک کند.
- یک پارچه تمیز را در روغن بذر تخم کتان گرم خیس کنید و سپس آن را روی منطقه تحت تاثیر قرار دهید.
- یک پد گرم را روی پارچه بگذارید تا گرم بماند.
- هر روز این درمان را انجام دهید.
- روشی دیگر اینکه 1 فنجان تخم کتان را در یک تکه پارچه بریزید و برای چند ثانیه در مایکروویو گرمش کنید.
- آن را روی ناحیه آسیب دیده قرار دهید و برای چند دقیقه فشارش دهید.
- در صورت لزوم تکرار کنید.
- شما می توانید مجدد از همان کیسه استفاده کنید.
هم چنین تخم کتان را در رژیم غذایی خود به طور منظم بکار ببرید.
6. درمان خار استخوان با بابونه:
بابونه می تواند برای ناراحتی های مربوط به خار استخوانی ، تسکین زیادی به همراه داشته باشد.خواص ضد التهابی و تسکین درد دارد که به کاهش التهاب و درد کمک می کند.
- 1 قاشق سوپ خوری گل های خشک و یا تازه بابونه را به یک فنجان آب داغ اضافه کنید.
- بگذارید تا 10 دقیقه بماند و سپس خنک شود.
- از این آب برای شستن ناحیه آسیب دیده استفاده کنید.
همچنین می توانید هر روز 2 تا 3 فنجان چای بابونه بنوشید.برای درست کردن این چای گیاهی ،2 قاشق چای خوری بابونه در یک فنجان آب به مدت 5 دقیقه بجوشانید و سپس آن را صاف کنید.همچنین می توانید کمی عسل نیز به آن اضافه کنید تا شیرین شود.
6.نمک اپسوم برای درمان خار استخوان:
اگر درد و التهاب شدید شود، می توانید حمام نمک اپسوم را امتحان کنید.کریستال های سولفات منیزیم به کاهش درد، تورم و التهاب کمک خواهند کرد.
- 2 فنجان نمک اپسوم را در وان حمام آب گرم بریزید و به مدت 20 تا 30 دقیقه در آن بمانید.
- دو یا سه بار در هفته تکرارش کنید.
توجه :این درمان برای کسانی که دچار مشکلات کلیوی یا دیابت هستند توصیه نمی شود.
7. بوراکس برای درمان خار استخوان:
- نصف قاشق چای خوری بوراکس را به 4 فنجان آب سرد اضافه کنید و هم بزنید تا به طور کامل حل شود.
- پاهایتان را به مدت 20 تا 30 در آن بگذارید.
- این کار را هر روز قبل از خواب برای چند هفته انجام دهید.
7. تمرین های ملایم برای التیام خار استخوان:
- تمرینات کششی ساده برای 30 دقیقه، 5 بار در هفته، به خصوص در صبح انجام دهید.
- برخی تمرینات هسته عضلات و بدن را تقویت کرده و ماهیچه های پاها و بازوها را کشش می دهند. این کارها را 5 بار در هفته انجام دهید.
- پیاده روی بر روی یک سطح نرم با بالشتکی با کفش های مناسب برای 30 دقیقه در روز نیز مفید است.
- گاهی شنا یا دوچرخه سواری کنید تا تناسب اندام داشته باشید.
برای یادگیری بیشتر در مورد انواع مختلفی از تمرین هایی که برای شرایط شما مناسب هستند، با پزشک خود مشورت کنید.
8.تغییرات رژیمی مناسب با خار استخوان:
- اسیده ای چرب امگا 3 و ویتامین E به کاهش التهاب ناشی از خار استخوانی کمک می کنند.
- ویتامین D و K به سالم نگه داشتن استخوان های شما کمک می کنند و از استخوان و غضروف سازی غیر عادی جلوگیری می کنند.
- منیزیم و کلسیم به کاهش درد خار استخوان کمک می کنند.
نکته :اگر مکمل های غذایی می خورید، همیشه با پزشک خود مشورت کنید.
توصیه های اضافی خار استخوان:
- از روغن زیتون گرم یا روغن نارگیل برای ماساژ دادن منطقه آسیب دیده با حرکت دایره ای به مدت 10 دقیقه دو بار در روز استفاده کنید.
- هم چنین شما می توانید ماساژ بافت عمیق را توسط یک درمانگر در نظر بگیرید تا به حل شدن آهک سازی کمک کند.
- کاهش وزن اضافی برای کاهش فشار بر روی منطقه آسیب دیده ، به ویژه پاها بسیار موثر است.
- برای درمان خار پاشنه، حمام آرام با آب سرد و داغ برای چند دقیقه مفید است.
- قبل از شروع هر فعالیت فیزیکی، همیشه یک ورزش ساده انجام دهید تا ناراحتی پس از آن کاهش پیدا کند.
- پاهای خود را کمی بالا نگه دارید تا از تورم و التهاب ناشی از خار پاشنه پا جلوگیری کنید.
- همیشه کفش های مناسبی برای هر فعالیت بپوشید.
- از غذاهایی با چربی های اشباع شده، نوشیدنی های الکلی ، غذاهای کم ارزش و غذاهای فرآوری شده اجتناب کنید.
- از کرم یا لوسیون حاوی کپسایسین استفاده کنید تا درد و التهاب را تسکین دهد.
- استرس را کاهش دهید چون به درد بیشتر در مناطق آسیب دیده کمک می کند.
- یوگا و مدیتیشن نیز در کاهش درد و التهاب ناشی از خار استخوانی موثر هستند.
- هم چنین طب سوزنی می تواند درد را تسکین دهد.
- اگر خار استخوان شما درد شدیدی دارد، استراحت کنید و از هر گونه فعالیت فیزیکی اجتناب کنید، چون ممکن است التهاب و درد را افزایش دهد.